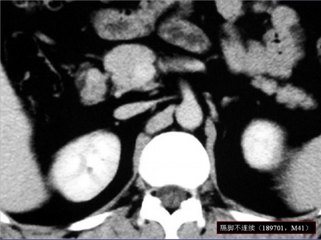
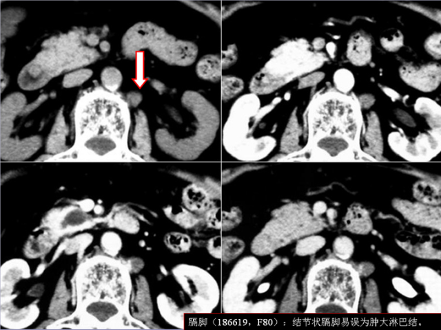
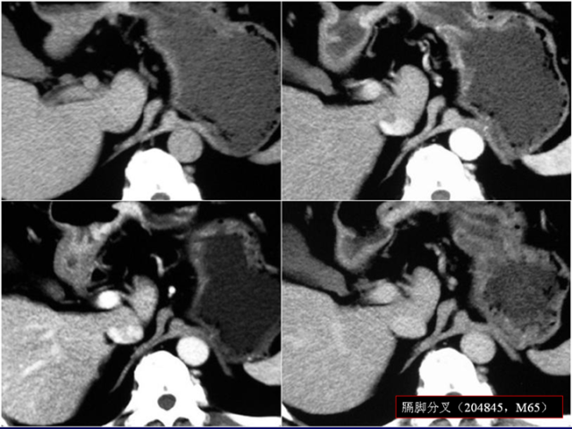
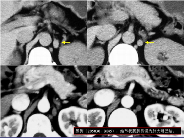
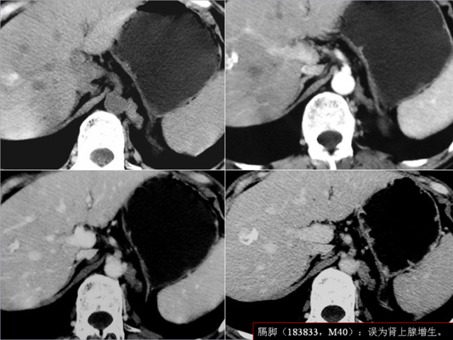
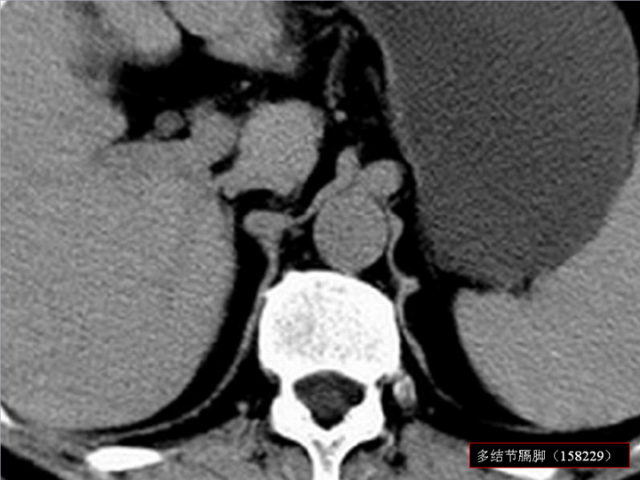
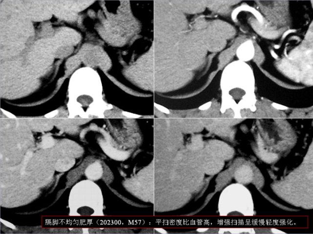
膈肌角解剖及常见变异

发表于 讨论求助 2021-06-09 14:28:55


  让学习成为一种习惯!  

医学影像服务中心国内最大的医学影像专业平台,唯一拥有500例病例+征象及专题讲座



作者:王俭 上海长征医院

来源:百度文库


关注【医学影像服务中心】,你会更加了解我们影像行业里的那些事!小编微信:yxyxfwzx

版权申明【本微信所有转载文章系出于传递更多信息之目的,且明确注明来源和作者,不希望被转载的媒体或个人可与我们联系,我们将立即进行删除处理】

发表
26906人 签到看排名